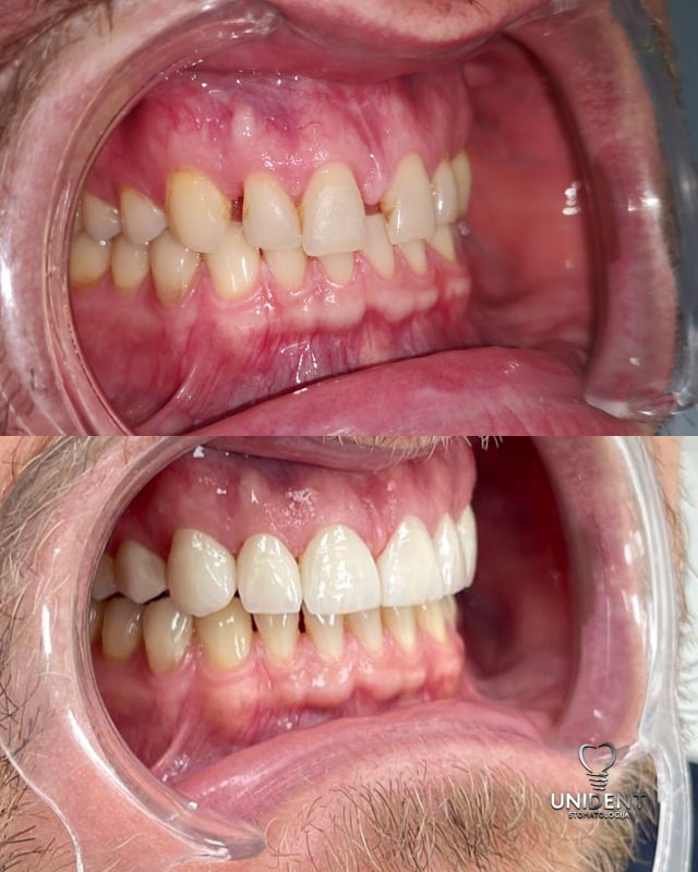
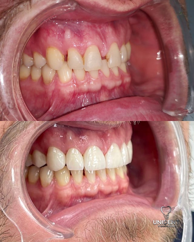
Estetski tretman prednjih zuba je uvijek predstavljao izazov u kliničkoj praksi. Keramičke fasete u estetskoj stomatologiji predstavljaju vrhunsku i kvalitetnu alternativu mnogim restaurativnim procedurama, koje zahtijevaju obimnije uklanjanje zubnog tkiva.
Za razliku od krunica, koje prekrivaju cijeli zub, ljuspice prekrivaju samo prednji (vidljivi) dio zuba. One omogućavaju da se maksimalno očuva zubna supstanca i da se uljepša osmijeh uz minimalno brušenje ili čak sasvim bez brušenja zuba. Najčešće indikacije za izradu keramičkih faseta su promjena boje, oblika, veličine ili položaja zuba.
Promjena boje je čest razlog primjene keramičkih faseta, u slučajevima kada su zubi otporni na izbjeljivanje, te kod tetraciklinske prebojenosti zuba. Dakle u slučajevima zuba, čija se boja ne može iskorigovati ni jednom usvojenom tehnikom izbjeljivanja. Keramičke fasete su idealno sredstvo izbora, kod osoba kod kojih se očekivani estetski rezultati ne mogu postići direktnim kompozitnim nadoknadama.
Indikacije koje se mogu riješiti izradom keramičkih faseta su: prisutne dijasteme između zuba, klinast oblik zuba, rotirani zubi, frakture gleđi. Materijal izbora za izradu keramičkih faseta definitivno je cirkonijum bezmetalna keramika i litijum disilikatna keramika (e.max).
Keramičke fasete su svakako najbolje rješenje za poboljšanje estetike osmijeha uz minimalno uklanjanje zubnog tkiva.
Sve informacije o pomenutoj tehnici možete pronaći na www.unidentstomatologija.com ili putem broja telefona 066 840 777.
Zubna ordinacija UNIDENT u Trnu vas čeka na adresi Cara Dušana 110, zgrada pored marketa “Tropik”.




















